|
2020年5月6日,新平县中医医院骨伤科医疗团队独立完成了一例重度残疾患者的人工全髋关节置换术。  

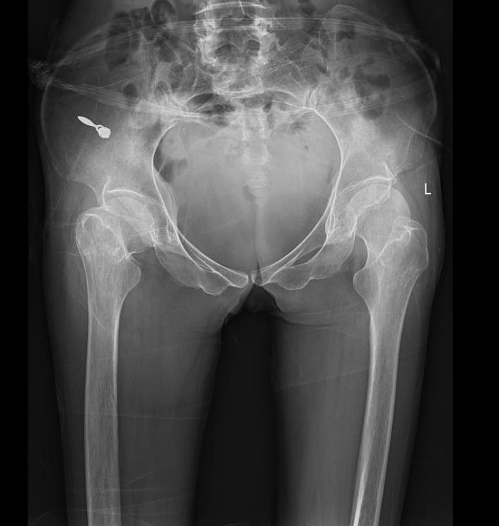
据悉,该患者为女性,现年53岁,形体瘦弱,体重仅25kg,心肺功能较差,因跌倒导致右侧股骨颈骨折,于4月30日被家属送入新平县中医医院进行治疗。骨伤科医疗团队经影像检查发现,患者患有先天性脊柱侧弯、脊柱后凸畸形,胸廓畸形、双上肢屈曲挛缩畸形和先天性马蹄内翻足畸形,四肢发育不良、关节强直。如不及时予以治疗,后期极可能因骨折端不愈合,导致患者长期卧床,使患者右下肢负重功能和行走功能完全丧失,并面临长期卧床带来的各种并发症,甚至危及生命。为了消除患者的痛苦,让患者早日恢复健康,骨伤科医疗团队综合研究患者病情,于5月6日对患者实施高精miniKL微创技术行全髋关节置换术。术中出血量较少,手术时间短,极大地减少了术后感染等并发症。本次手术切口仅7厘米,术后患者即可自由抬腿,右髋关节稳定性良好。鉴于骨科康复能有效加快患者的康复进程,骨伤科医疗团队与针灸科医疗团队密切配合,为患者制定了科学、安全、个体化的康复方案。经过骨伤科医疗团队与针灸科医疗团队的不懈努力,以及患者持之以恒的刻苦训练,目前,患者已能顺利下地行走,患者和家属对治疗效果非常满意。   近年来,新平县中医医院骨伤科医疗团队不断挑战高难度手术,以精湛的医疗技术为骨关节疾病患者的健康保驾护航,让广大骨关节疾病患者在县域内就可以享受到高精尖医疗技术带来的健康生命质量。
|